Modalităţile actuale de tratament pentru leziunile dentare eroziv-abrazive
Current treatment of erosive-abrasive dental lesions
Abstract
Abrasive dental lesions represent the mechanical wear of the hard dental substance, always produced by contact and rubbing with an abrasive body of exogenous origin. Erosive lesions have as etiological factor the chemical agents that act in the oral cavity and cause hard tissue dissolution. First of all, the treatment methods for these lesions must start with the identification of the causes, together with the restoration of the lost dental substance. The materials and techniques chosen must also take into account the location of the lesion and the occlusal forces exerted at the level of the restored lesion. In order to ensure the success of the treatment, it is essential to educate the patient and to remove the etiological factors.Keywords
hard dental tissue losserosive-abrasive lesionrestorative treatmentRezumat
Leziunile dentare abrazive reprezintă uzura mecanică a substanţei dure dentare, produsă întotdeauna prin contactul şi frecarea cu un corp abraziv de origine exogenă. Leziunile erozive au ca factor etiologic agenţii chimici ce acţionează în cavitatea bucală şi produc dizolvarea ţesuturilor dentare. Metodele de tratament pentru aceste leziuni trebuie să aibă în vedere identificarea cauzelor, în primul rând, concomitent cu restaurarea lipsei de substanţă. Materialele şi tehnicile alese trebuie să ţină cont, de asemenea, de localizarea leziunii şi de forţele ocluzale ce se exercită la nivelul leziunii restaurate. Pentru asigurarea succesului tratamentului este esenţială educarea pacientului în privinţa îndepărtării factorilor etiologici.Cuvinte Cheie
distrucţie dentarăleziune eroziv-abrazivătratament restauratorIntroduction
Erosive and abrasive dental lesions are commonly encountered in dental practice due to the multifactorial etiology involved, with several mechanisms participating simultaneously or successively. At the same time, the salivary secretion, the morphology of the teeth and the dental arches are important factors that intervene both in the occurrence and in the treatment of this type of lesions.
Dental erosion and abrasion lesions are part of the noncarious dental lesions that cause the loss of hard substance, both enamel and dentine(1).
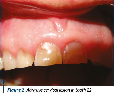
Dental abrasion is the irreversible loss of a hard dental substance by mechanical process; it is tooth wear due to the repeated friction of the tooth with different abrasive objects, other than teeth (for example, excessive brushing with hard toothbrushes). It has a different etiology than the physiological process of tooth wear during mastication and normal dental contact.
Dental erosion represents the progressive and irreversible loss of the hard dental structure by the action of chemical agents.
Treatment features of the restoration of erosive-abrasive dental lesions
The main objectives of the restorative treatment of abrasive or erosive lesions are:
-
the restoration of dental morphology strictly respecting the coronal morphology;
-
the restoration of functionality, with the possibility of using the involved area or hemiarcade;
-
maintaining the pulp vitality for as long as possible;
-
the restoration of the aesthetic appearance;
-
the redistribution of the masticatory forces that are usually concentrated in the center of the lesion, thus obtaining a proper occlusion.
For the success of the treatment of erosive-abrasive dental lesions, it is very important the accomplishment of a rigorous anamnesis and clinical examination in order to identify the etiological factors, followed by their removal, in order to increase the longevity of the restoration. This way, we can also prevent the development of new lesions or of the recurrences(2,3).
The first specific aspect when restoring tooth wear lesions is to identify the factors and the etiological mechanism, which may be one or more, associated. Thus, the type of the restorative material should not be chosen only for aesthetic considerations, but also according to the etiology of the defect: abrasive lesions are restored with resin composite (which is more resistant than glass ionomer cement) or by sandwich technique; erosive lesions are restored with a fluoride-releasing material that has a low solubility, preferably resin composite, ceromers or compomers.
When performing the restorative treatment of erosive-abrasive lesions, it must be taken into account that the tooth is not a single individual element, but is subjected to deformations under the load of occlusal forces, and the restoration materials are also subjected to the same forces that can lead to its dislocation from dental surface. The correct and rigorous analysis of the occlusion is essential. This is one of the most important specific aspects of restorative treatment for abrasive and erosive tooth wear(4).
It is very important to choose carefully the type of restoration material used when restoring hard tissue loss caused by erosion and/or abrasion, based on its properties. In order to perform a correct coronal restoration, the material must present, from a mechanical point of view, a good abrasion resistance, but especially a low elasticity modulus. This is a necessary condition to avoid dislocation of the restoration, under the action of the tensile stress present at this level and thus to ensure the longevity of the restoration. It is known that the life span of this type of restorations is shorter than the ones in the occlusal or occlusal-proximal areas. The longevity of the restoration material depends on the wear resistance of the material, the durability of the tooth-restoration interface, the degree of dental wear and the location of the lesion(5).
The restoration of abrasive-erosive lesions must also respect the aesthetic objectives (color, texture, morphology). The aesthetics of the restorative materials can be assessed subjectively. The initially used shade may become inadequate over time, because, as the tooth constantly changes its color, so too the restoration material may undergo color changes in its structure. Also, the phenomenon of microleakage can occur, with aesthetic consequences and loss of adhesion to dental structures.
The restoration technique plays an important role in achieving a correct dental restoration we are talking about: it respects the principles of tooth preparation, the adhesive technique used, as well as the selection, insertion and polishing of the restorative material. Thus, at the cervical level, when created hybrid layer, it is possible to use the double layer application of the adhesive system, in order to obtain a most elastic surface, which can absorb the stress to which the restoration is subjected.
When restoring erosion lesions, the resistance to acid attack of the material used should be taken into account, even though the patient is educated to remove the etiological factors (for example, when erosion is caused by excessive consumption of carbonated drinks, or citrus fruits). The wear rates for the different types of adhesive dental materials (composite resin, conventional glass ionomer cement, and resin modified glass ionomer cement) vary, but in general all are more resistant to pH acid than tooth enamel(6). It is known that composite materials have the lowest susceptibility to acid attack.
Treatment principles for erosion-abrasion dental lesions
A correct therapeutic approach is based primarily on the identification and removal of the etiological factors, in association with detailed clinical examination, which lead to proper and complete diagnosis. The assessment of the degree of the hard dental tissues wear is essential in order to apply the appropriate restorative treatment, because not all lesions require immediate treatment. By eliminating the etiological factors, the balance in the oral cavity can be restored(7,8).
The first session, when he/she presents at the dental practice and erosive and/or abrasive lesion are identified, implies the enrollment of the patient in a prevention program, with the purpose of dental education, in order to ensure the success of the restoration and to prevent the relapses. This may include:
-
reducing the mechanical impact on tooth surfaces by training the patient about the correct technique of dental brushing, choosing a soft toothbrush and a non-abrasive toothpaste(9);
-
performing the tooth brushing before the consumption of acidic drinks or foods, and after their ingestion only an oral rinse with fluoride mouthwash will be performed;
-
modifying the diet and reduce the quantity and frequency of consumption of acidic drinks and foods;
-
the recommendation that acidic beverages be consumed with straw, so that the contact with dental surfaces is minimized;
-
the recommendation for practicing chemical protection methods: antacid diet (cheese after meal) or antacid tablets;
-
the elimination of vicious habits and interposition of various objects between teeth;
-
the stimulation of salivary flow through free-sugar candy and chewing gum;
-
increasing the enamel resistance through fluoride application (professional or self-applications of fluoride agents: oral rinses, gels or varnishes);
-
providing additional mechanical protection by sealing the affected dental surfaces;
-
in case of vomiting or gastroesophageal reflux, bulimia, anorexia, patients with alcoholism or drug addiction, it is recommended to rinse the mouth with water and not brush the teeth. Equally important is to know that it is required a causal therapy (general medicine, psychological therapy) for these conditions(10).
In the case of incipient erosive-abrasive lesions, it is necessary to make an initial oral lesion documentation (take photos) and monitore them in order to determine the evolution and detect the optimal moment for therapeutic approach.
The restoration of erosive-abrasive lesions is indicated in the following situations:
-
if the hard tissue defect is deep enough that it compromises the integrity of the tooth;
-
if there is an important dentin hypersensitivity;
-
when the wear lesion almost opens the pulp chamber;
-
when the lesion causes pulpal or periodontal alterations;
-
when the lesion is associated with dental caries;
-
when aesthetic aspect is implied.
When a therapeutic intervention is required, this involves restoring both the morphology and functionality of the tooth, which can be achieved either by direct, or by indirect restorations(11).
In all clinical situations, the preparation must follow the principles of minimally invasive treatment, since the restoration of erosive-abrasive lesions is today carried out with adhesive dental materials. Most lesions do not require preparation, as their surface is smooth and does not present dental caries. In the situation of restorations using direct veneers, it is necessary to prepare in a specific manner the vestibular face.
Bibliografie
-
Popa MB. Estetică în Odontoterapia Restauratoare. Ed. Univ. „Carol Davila”, Bucureşti, 2006.
-
Aguiar YP, dos Santos FG, Moura EF, da Costa FC, Auad SM, de Paiva SM, Cavalcanti AL. Association between dental erosion and diet in Brazilian adolescents aged from 15 to 19: a population-based study. Scientific World Journal. 2014 Feb 13; 818167.
-
Ganss C, Lussi A. Diagnosis of erosive tooth wear. Monogr Oral Sci.2014; 25:22-31.
-
Litonjua LA, Bush PJ, Andreana S, Tobias TS, Cohen RE. Effects of occlusal load on cervical lesions. J Oral Rehabil. 2004; 31:225-232.
-
Gheorghiu IM, Mitran L, Mitran M, Mironiuc-Cureu M, Stoian IM. Leziunile dentare abrazive. Medic.ro. 2013; 92(2):38-39.
-
Patel M. Treating Tooth Surface Loss: Adhesive Restoration of the Worn Anterior Dentition. Prim Dent J. 2016 Aug 1; 5(3):43-57.
-
Schlueter N, Luka B. Erosive tooth wear – a review on global prevalence and on its prevalence in risk groups. Br Dent J. 2018 Mar 9; 224(5):364-370.
-
Carvalho TS, Colon P, Ganss C, Huysmans MC, Lussi A, Schlueter N, Schmalz G, Shellis RP, Tveit AB, Wiegand A. Consensus report of the European Federation of Conservative Dentistry: erosive tooth wear – diagnosis and management. Clin Oral Investig. 2015 Sep; 19(7):1557-61.
-
de Araújo DB, Silva LR, Campos Ede J, Correia de Araújo RP. In vitro study on tooth enamel lesions related to whitening dentifrice. J Dent Res. 2011 Nov-Dec; 22(6):770-6.
-
Pace F, Pallotta S, Tonini M, et al. Systematic review: gastrooesophageal reflux disease and dental lesions. Aliment Pharmacol Ther. 2008; 27:1179-1186.
-
Green JI. Prevention and Management of Tooth Wear: The Role of Dental Technology. Prim Dent J. 2016 Aug 1; 5(3):30-33.

